Introduction
History
Organization
Headquarter office
Notice
International Membership
About Journal of KSUM
Search
Annual Meeting
International Meetings
Cases
VODs
International Fellowship
Guideline
Application Form
Downloads
> education >
Cases
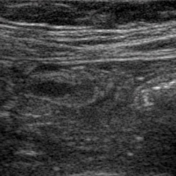
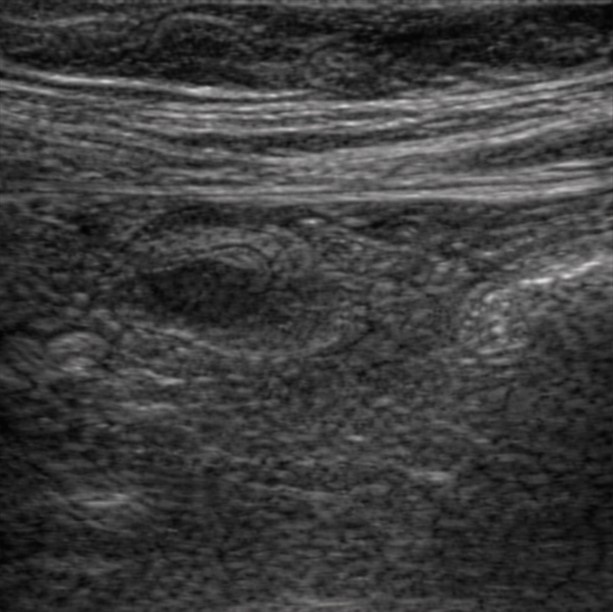
[362,Gastrointestinal [GI]] 40/F,Right lower quadrant pain
Subspecialty
Gastrointestinal [GI]
Difficulty
For resident,
Modality
US,
이지선
,2026-02-25
[Questions]
What is the most likely diagnosis?
[Diagnosis]
1.
Acute appendicitis
2.
Cecal diverticulitis
3.
Epiploic appendagitis
4.
Omental infarction
5.
Crohn disease
[Go to answer]
Comments on Case
No Data